01 40 69 47 57
contact@dr-ohana.com
Vidéos
Resultats
Contact
CHIRURGIE DU VISAGE
Lifting
Lifting cervico facial
Lifting vertical macs
Mini lift
Lifting temporal
Lifting sourcilier
Lipofilling et lifting
Rhinoplastie
Rhinoplastie chirurgicale
Rhinoplastie médicale
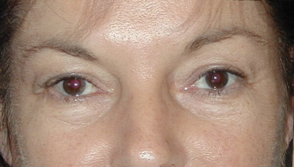
Blépharoplastie : paupières
Profiloplastie : front-nez-menton
Double menton : ovale du visage
Otoplastie : oreilles décollées
Lipofilling du visage
Tarifs
Chirurgie du corps
Chirurgie Des Seins
Augmentation Mammaire
Ptôse Mammaire
Réduction Mammaire
Plastie Prothèse Mammaire
Reconstruction Mammaire
Lipoaspiration
Lipofilling Du Corps
Chirurgie Du Ventre : Plastie Abdominale
Lifting Des Cuisses
Lifting Des Bras
Body-Lift
Chirurgie Des Fesses : La Glutéoplastie
Chirurgie Des Mollets
Chirurgie Intime De La Femme
Chirurgie Intime De L’Homme
Tarifs
Médecine esthétique
Injection Anti-ride
Acide Hyaluronique
Injection de Botox
Mésolift
Fils Tenseurs
Peeling
Cryolipolyse
Macrolane
Photorajeunissement au Laser
Épilation Laser
Tarifs
Tarifs
BLOG
Rendez-vous
Accueil
Resultats
PAUPIERES
LIFTINGS
PAUPIERES
RHINOPLASTIE
SEINS
LIPOASPIRATION
PLASTIE ABDOMINALE
FESSES
RIDES
PAUPIÈRES SUPÉRIEURES 1
PAUPIÈRES SUPÉRIEURES 2
PAUPIÈRES SUPÉRIEURES ET INFÉRIEURES
PAUPIÈRES SUPÉRIEURES 3